Themenseite ZNS-Tumoren/Hirntumor
Themenseite - ZNS-Tumoren/Hirntumor
Ausgewählte Best-of-Abstracts
Blut-Hirn-Schranke auf Labor-Chip simuliert
20.01.2026
|
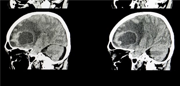
Glioblastom
Metaanalyse: PPI könnten Prognose von Patienten mit Hirntumoren verschlechtern
12.06.2025
|
Hirnhauttumor wegen Verhütung?
Desogestrel-haltige Kontrazeptiva erhöhen wohl Risiko für Meningeome
13.01.2025
|
Kanadische Kohortenstudie
Adipositas verschlechtert wohl Prognose von Kindern mit Krebs
05.06.2024
|
Diverse Substanzen untersucht
Manche Gestagene können das Risiko für Meningeome erhöhen
24.04.2024
|
Stabile Erkrankung über sechs Monate
Erste Erfolge mit CAR-T-Zelltherapien gegen Glioblastom
27.11.2023
|
Hinweise auf längeres Leben
Erfolge mit onkolytischen Viren bei Hirn- und Ovarialtumoren
Meinung







