Ärzte Zeitung: Medizin und Praxiswissen für Ärztinnen und Ärzte
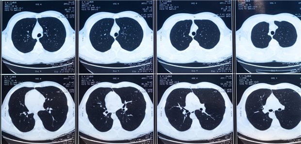
Vernarbung und Fibrosierung
Interstitielle Lungenerkrankung: Die Nachwehen von COVID-19
Deutscher Krebskongress
Risikoadaptiert und individualisiert behandeln
Frühes Mammakarzinom: So optimieren Sie die Therapie
Krebsprävention durch Kommunikation
Zu Krebs halten sich Mythen und Irrtümer hartnäckig – Aufklärung tut not
Möglichkeiten der Künstlichen Intelligenz
KI-Tools können die Rolle von Biomarkern einnehmen
Universität Halle wertet Fallberichte aus
Wunsch nach assistiertem Suizid wird für Ärztinnen und Ärzte in Zukunft zur Herausforderung
Themenseite
Alles zum Deutschen Krebskongress
1
Chance nicht verpassen
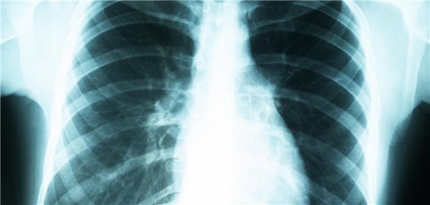
Warum das Screening auf Lungenkrebs für die HNO-Medizin interessant ist
2
Wohl mehr Schaden als Nutzen
Kopfverband nach Mittelohr-Operation: Braucht es das wirklich?
5
Krebsprävention durch Kommunikation
Zu Krebs halten sich Mythen und Irrtümer hartnäckig – Aufklärung tut not
Politik & Debatte
Reform der Sozialsysteme
Gesundheit und Pflege: Grünen-Fraktion prangert „Winter der Enttäuschung“ an
Krankenhausreform
Klinik-Atlas soll zum Gemeinsamen Bundesausschuss umziehen
Primärversorgung
Wartezeiten auf einen Facharzttermin: Krankenkassen und Ärzte ringen um Deutungshoheit
Gesetzliche Krankenversicherung
Bilanz für 2025: Vier Krankenkassenverbände mit 3,2 Milliarden Euro Überschuss
Deutsche Gesellschaft für Radioonkologie (DEGRO)
Strahlentherapie: Mehr Lebensqualität durch Organerhalt und weniger Nebenwirkungen
Schmerztherapie bei Kindern und Jugendlichen
Ibuprofen bei muskuloskelettalen Verletzungen im Kindesalter meist ausreichend
Vorteile des Logins
Über unser kostenloses Login erhalten Ärzte und Ärztinnen sowie andere Mitarbeiter der Gesundheitsbranche Zugriff auf mehr Hintergründe, Interviews und Praxis-Tipps.
Haben Sie schon unsere Newsletter abonniert?
Von Diabetologie bis E-Health: Unsere praxisrelevanten Themen-Newsletter.
Jetzt neu jeden Montag: Der Newsletter „Allgemeinmedizin“ mit praxisnahen Berichten, Tipps und relevanten Neuigkeiten aus dem Spektrum der internistischen und hausärztlichen Medizin.
Top-Thema: Erhalten Sie besonders wichtige und praxisrelevante Beiträge und News direkt zugestellt!
Einstimmiges Votum
G-BA sieht keinen Zusatznutzen von Lecanemab bei früher Alzheimer-Demenz
Bundesfinanzministerium erklärt Voraussetzungen
Aktivrente 2026: Was Ärztinnen und Ärzte wissen müssen
Aktuelle Podcasts
























